English
Deutsch
Français
Smile Clinic
because smile is success
+36 1 445 0004
+36 30 291 7500
info@dentalangels.hu
Send email
Call
FaceLift
Unsere Klinik
Gallery
Anti-Aging Behandlung
Zahnärzte
Zahnarzt
Assists
Reception
Manager
Behandlungen
Nacht Zähneknirschen
All_on_vier
Zahnimplantate
Oralchirurgie
Zahnentfernung
Parodontologie
Wurzelbehandlung
Zahnersatz
Füllungen
Porzellan Veneers
Veneers
Zahnbrücke
Porzellan und Zirkon Kronen
Inlay/ Onlay de
CFast schnelle Kieferorthopädie
Unsichtbare Zahnregulierung
Gesichtsästhetik
Mundhygiene Zahnsteinentfernung
Zahnaufhellung - Bleaching
Diagnostik
Unsere Preise
Garantie
Preise
Kontakt
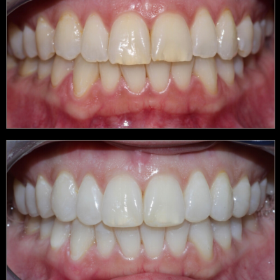
Before - After
Haben Sie Fragen? Rufen Sie uns vertrauensvoll an, wir freuen uns auf Ihren Anruf! Rückruf anfordern
Call me back
+36 1 445 0004
+36 30 291 7500
info@dentalangels.hu